Immuntherapie bietet manchen Lungenkrebspatienten ungeahnte Möglichkeiten Quantensprung in der Krebstherapie

Niederrhein · Lungenkrebs ist die häufigste Krebserkrankung weltweit. In Deutschland war der Lungen- und Bronchialkrebs 2014 die vierthäufigste Todesursache. Doch es gibt Anlass zur Hoffnung. Immuntherapie ist hierbei das Stichwort.

Freuen sich über die Therapie-Erfolge: Oberarzt Dr. Kato Kambartel, Patient Bernd Kirchhausen, Chefarzt Dr. Thomas Voshaar und der Onkologe Dr. Peter Liebisch.

Foto: Ulla Michels

Wie ein neuer Therapieansatz die Behandlung von Lungenkrebspatienten revolutioniert, zeigt ein Beispiel am Bethanien-Krankenhaus.

Bernd Kirchhausen sitzt in der Ärztebibliothek des Bethanien-Krankenhauses und lacht. Und vor allen Dingen: Er lebt. Was angesichts seiner Krankenakte einem kleinen Wunder gleichkommt. 2013 wurde bei Bernd Kirchhausen Lungenkrebs diagnostiziert. Da sich das Karzinom noch in einem frühen Stadium befand, konnten die Bethanien-Ärzte um Dr. Kato Kambartel, Koordinator des Lungenzentrums, den 65-Jährigen operieren. Es folgten Chemotherapie und Bestrahlung, auf die der Patient gut reagierte. "Nach der OP und der Therapie ging es ihm gut", erinnert sich Oberarzt Kambartel.

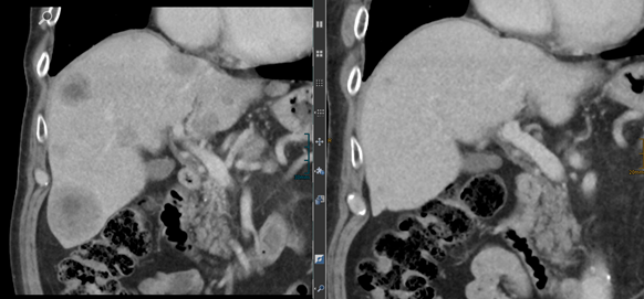
Die Röntgenaufnahme von Bernd Kirchhausens Leber: Links mit Metastasen (schwarze Punkte) aus 2015, rechts die aktuelle befundfreie Aufnahme.

Foto: Bethanien

Allerdings dauert dieser Zustand nicht wirklich lange an. 2015 fühlt sich Bernd Kirchhausen wieder schlapp, antriebsarm. "Er ist kaum noch vor die Tür gegangen, hat nicht gegessen und es ging ihm sehr schlecht", blickt seine Frau zurück. Also wieder ins Krankenhaus. Die Untersuchungen im Spätsommer des vergangenen Jahres zeigen: Die Lunge ist zwar weiterhin krebsfrei, allerdings hat der Krebs metastasiert, sprich: Er hat sich im Körper des Patienten ausgebreitet. Im Falle von Bernd Kirchhausen ist es die Leber, die nun von Metastasen durchsetzt ist. Im Normalfall stünde fest: Bernd Kirchhausen hat wohl nicht mehr lange zu leben. "Denn", so erklärt es Kato Kambartel, "im metastasiertem Stadium sind die Überlebenschancen der Lungenkarzinom-Patienten dramatisch schlecht." Aber Bernd Kirchhausen hat Glück. Denn seine Krankheit fällt in eine Zeit, in der es auf dem Gebiet der Krebsforschung, und hierbei gerade im Bereich der Behandlung von Lungenkarzinomen und Dunklem Hautkrebs, bahnbrechende Fortschritte zu verzeichnen gibt. Denn wo früher immer auf Chemotherapie und Bestrahlung gesetzt wurde, bietet nun die Immuntherapie ungeahnte Möglichkeiten.

Das Prinzip funktioniert so: Bösartige Tumorzellen haben einen Trick entwickelt, dass sie von den T-Zellen des Immunsystems nicht angegriffen und vernichtet werden. Plakativ dargestellt tarnen sich die Tumorzellen als gesunde Körperzellen und entgehen so der Zerstörung durch die T-Zellen. "Ein exemplarisches Beispiel ist das sogenannte PD-L1-Antigen. Wenn dieses auf den Außenwänden der Krebszellen vorhanden ist, signalisiert es den T-Helferzellen des menschlichen Immunsystems, die entstehenden Tumorzellen als körpereigene Zellen zu akzeptieren und nicht zu zerstören", erklären Kato Kambartel und Dr. Thomas Voshaar, Chefarzt der Lungenklinik im Bethanien-Krankenhaus.

Das Prinzip der Immuntherapie: Inzwischen gibt es Antikörper, die genau dieses PD-L1-Signal der Tumorzelle ausschalten und damit wieder das Immunsystem gegen den Tumor aktiv werden lassen. Die Erfolge sind wahrlich bahnbrechend. Seit Oktober 2015 ist Bernd Kirchhausen Immuntherapie-Patient. Alle zwei Wochen geht er für kurze Zeit in die Onkologische Praxis von Dr. Peter Liebisch, der eng mit den Bethanien-Fachärzten zusammenarbeitet, und bekommt eine Infusion mit dem Medikament Nivolumab. Das Ergebnis zeigt das kleine Bild im Artikel. Die Leber von Bernd Kirchhausen ist frei von Metastasen. Die Mediziner sind weit davon entfernt zu sagen, dass Immuntherapie Patienten heilen kann. "Nicht jeder Tumor spricht auf diese Therapie an. Aber bei manchen Patienten fördert sie die Remission der Tumore", erklärt Peter Liebisch. Sprich: Der Tumor wird zurückgedrängt.

Für den Patienten bedeutet es, dass er Lebenszeit und -qualität gewinnt. Studien haben gezeigt, dass die Überlebensrate nach 12 Monaten von Immuntherapie-Patienten nahezu verdoppelt werden konnte. Nebenwirkungen gibt es bei der Immuntherapie mit Nivolumab kaum. Für Lungenkarzinom-Patienten, bei denen die Lebensqualität im Normalfall bereits 24 Wochen nach der Diagnose rapide sinkt, ein absolutes Novum. "Ich bin nahezu beschwerdefrei. Ich kann jetzt alles wieder machen, was vergangenes Jahr noch unmöglich war. Ich kann wieder essen und wieder lachen", freut sich Bernd Kirchhausen. Und das ist auch der zentrale Punkt, wie Kato Kambartel betont. "Wir wollen den Patienten gute Lebenszeit schenken." Rund 20 Patienten werden aktuell am Bethanien mit Nivolumab behandelt. Tendenz steigend...