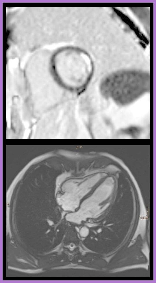
Abb A: MRT eines Fetus im Mutterleib mit einem Aufstau des Hirnwassers und erweiterten Hirnkammern. Abb B: MRT des Herzens nach einem Herzinfarkt, die Narbe ist im oberen Bild hell abgrenzbar (Pfeil) Abb C: Herz-CT mit Darstellung der Herzkranzgefäße, die einliegenden Gefäßstützen (Stents) sind sehr gut einsehbar (Pfeile)

Zuletzt aktualisiert:
Weitere Bilderstrecken